歯を支える骨が健康な今のうちに、将来の美と健康を約束する 〝歯の投資〟始めませんか? 今回はか【ホワイトニングプラン】について、費用までご紹介します!
★ プロは「ホーム」がイチオシ! イベント間近なら「オフィス」を検討
★ 【ホーム】直後にミネラルパックで歯を健やかに
★ 【オフィス】内部黄ばみにも直接作用
★ 番外編:歯茎のピーリング
顔全体の印象がくすんできたら ホワイトニングプラン
◯ ¥20,000〜。色素を分解する基本の「医療ホワイトニング」は3種類
市販品や「セルフホワイトニング」は、表面の着色汚れを落とすだけなので限界が。歯科医院での「医療ホワイトニング」を選ぶのがベスト。
医療ホワイトニングは、処方の薬剤で自宅で行う「ホームホワイトニング」、歯科医院で施術を受ける「オフィスホワイトニング」、ホームとオフィス併用の「デュアルホワイトニング」の3種。ホームホワイトニングでも、やればやるほど白くなるので、急がないなら、コスパ◎なホームホワイトニングがオススメ!
プロは「ホーム」がイチオシ! イベント間近なら「オフィス」を検討
【ホーム】直後にミネラルパックで歯を健やかに
ホームホワイトニング直後がチャンス! ホワイトニング直後のエナメル質はミネラルを吸収しやすいので、ミネラルパックで効率よくケア。
MIペースト¥1,780(ジーシー)歯科医院専売品※カゼイン・パラベン配合。アレルギーの方は使用不可
【オフィス】内部黄ばみにも直接作用
オフィスホワイトニングの中でも、注目の最新メニュー。過酸化水素等の薬剤を使わず、高出力青色LEDを照射し通常は難しい歯の内部にもアプローチし自然にトーンアップ。薬剤を使用する一般的なオフィスホワイトニングでは効果が出にくい歯にも◎。1回で8トーンUPも!
お問い合わせ:ミライズ矯正歯科 南青山
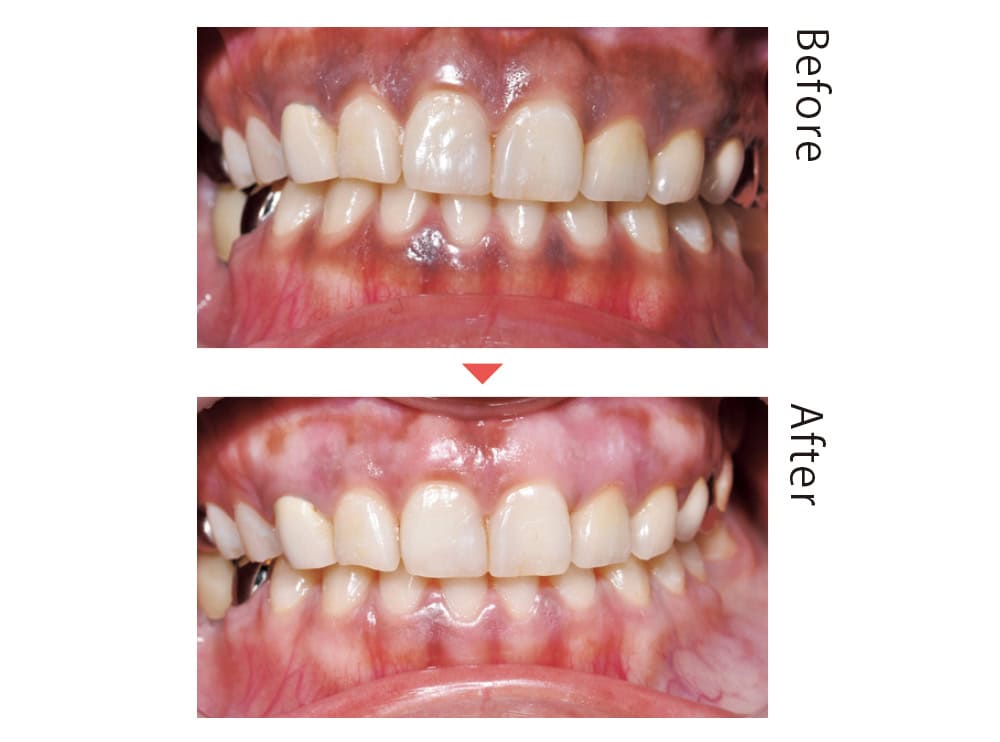
番外編:歯茎のピーリング
40代気になるのは…歯の色だけじゃない! 歯をホワイトニングしても口元の印象が暗いなら、歯茎の色に注目。紫外線や喫煙、口呼吸、食物の刺激などの原因により、メラニンが生成されて黒ずんでいるかも。約1週間のダウンタイムを経ると、血色のいい若々しいピンク色の歯茎に。
お問い合わせ:東京オペラシティ歯科
取材/羽生田由香 イラスト/別府麻衣 デザイン/スズキのデザイン ※情報は2025年9月号掲載時のものです。













